Australia / New Zealand
Kulzer globes image
Countries
Newsletter
contact
Countries
Newsletter
contact

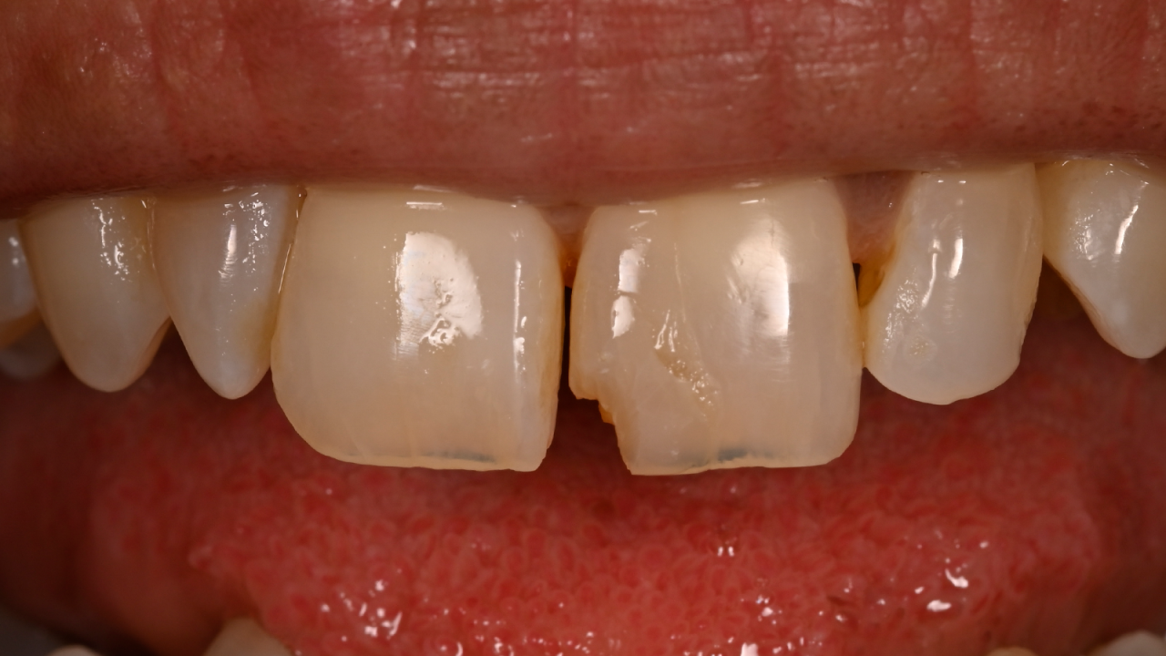
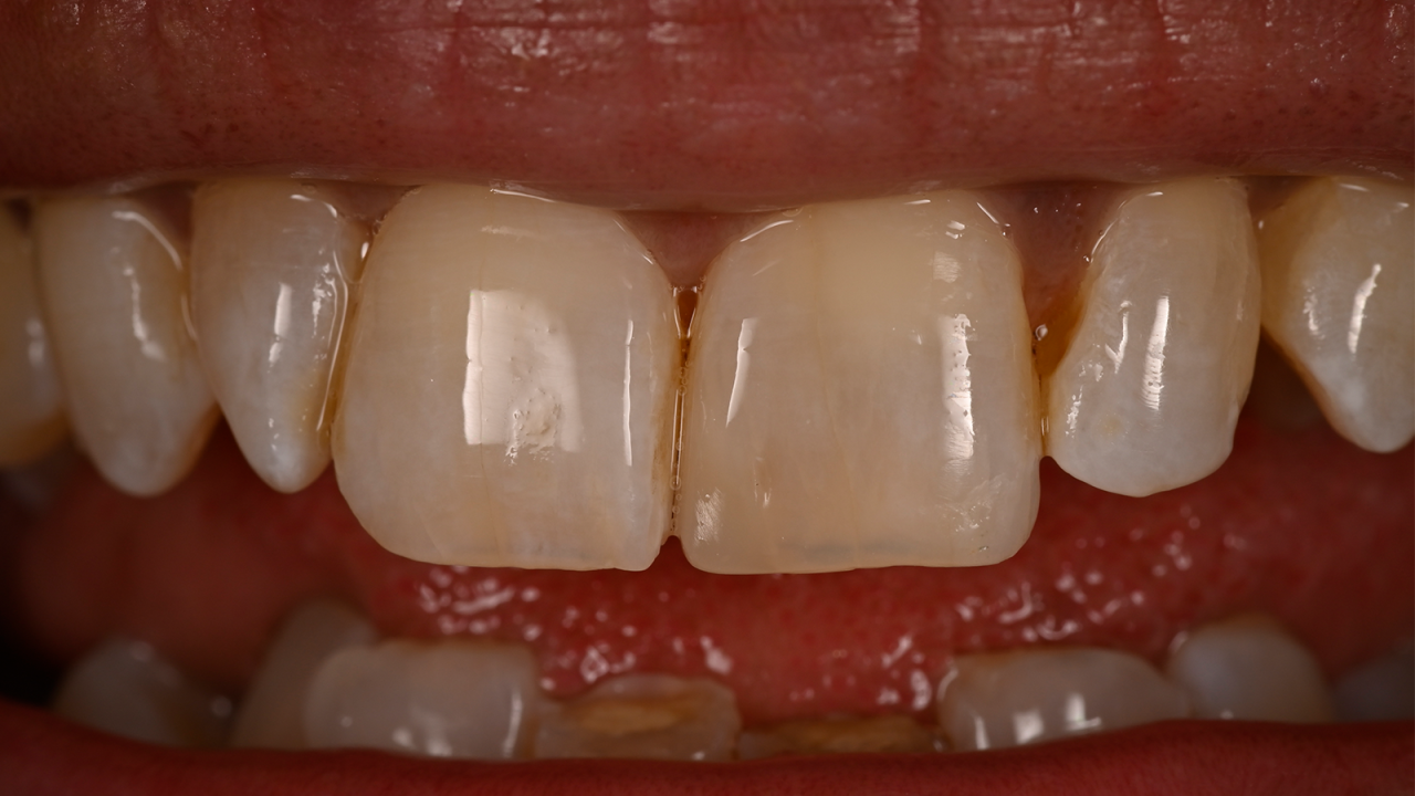
Used products

Related products

  • iBOND® Universal

    iBOND® Universal

    iBOND Universal is the universal, light-curing adhesive for any bonding technique and all indications. Being compatible with all dental materials, it is our all-rounder for reliable bond strength.

  • Ivory® Rubber Dams & Clamps

    Ivory® Rubber Dams & Clamps

    We recommend Ivory rubber dams for absolute drainage of the Treatment area. We provide the brackets for fixation in a variety of sizes and shapes.

Be part of the Venus community

Discover even more cases and stories from your colleagues here!

Explore now