28.06.2024
| Quote on the use of Venus Diamond Pure Shades: |
| "Excellent product, good workability and handling of the material, excellent result in the finishing and colour and aesthetic appearance." |
| CLINICAL CASE |
Patient wishes anatomical reconstruction of tooth 12 due to aesthetical reasons.
Etching of tooth 12 with subsequent bonding step using iBOND Universal.
Layering with Venus Diamond MEDIUM and characterisation with Venus Color.
Finishing of the restoration.
Polishing of the restoration with Venus Supra two-step polishing system.
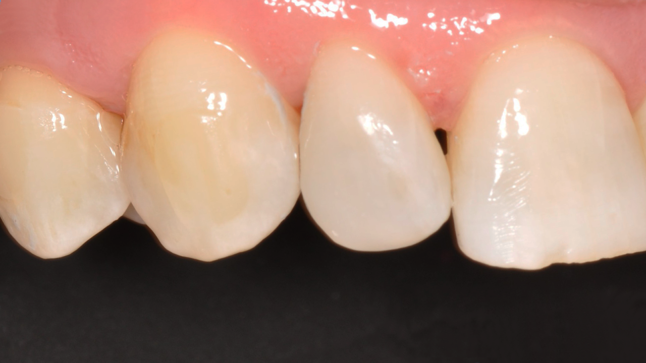
Final result after reconstruction of tooth 12 with Venus Diamond MEDIUM.
Used products
Discover the Kulzer products featured in this case and follow the links for more information:
Related products
Instructions for use:
Please also refer to the relevant Instructions for Use (IFU) when using the medical devices: Go to IFU portal