29.07.2024
| Quotes on the use of Venus Pearl Pure Shades: |
| “Final shade match and contour left the patient very happy and pleased!" |
| "The 4 shades are convenient and easy to use. They have very good blending effect and handle nicely.” |
| CLINICAL CASE |
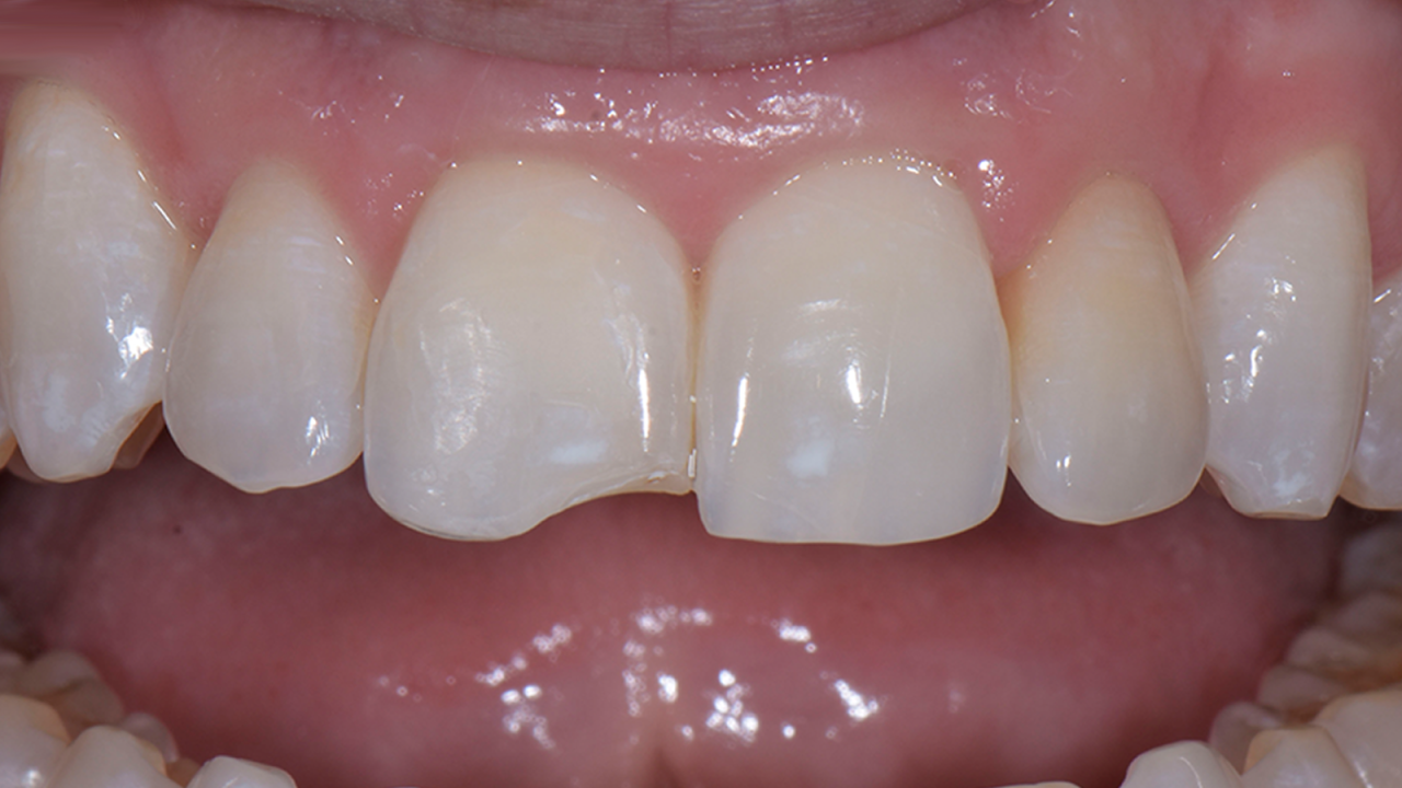
Initial situation.
Etching of tooth 11 under isolation.
First layer with Venus Pearl LIGHT.
Smoothening of the labial layer.
Final result of cosmetic correction at tooth 12 and Class IV restoration at tooth 11.
Used products
Discover the Kulzer products featured in this case and follow the links for more information:
Instructions for use:
Please also refer to the relevant Instructions for Use (IFU) when using the medical devices: Go to IFU portal