The new ONE Shade is ideal for basic posterior restorations, small or large, and not extended buccally into the visible zone. In contrast, for more complex and aesthetically challenging cases in the anterior or if masking of discolourations is needed, we recommend our existing shade range for all the details.
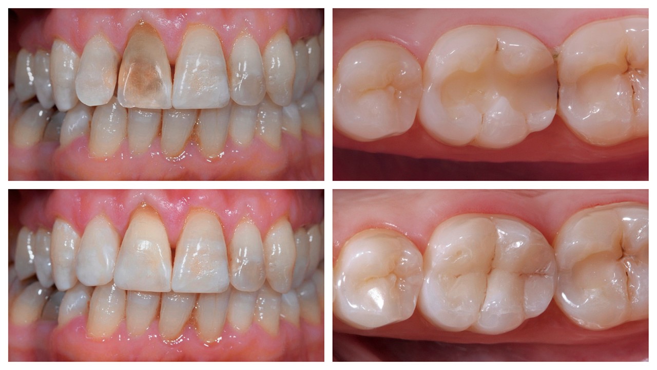
Venus Diamond/ Venus Pearl ONE Shade blends seam - lessly into the surrounding dentition, independent of the tooth shade, enabling restorations to simply disappear. The universal composites for everyday restorations offer a new one-shade solution within the Venus family for the majority of everyday cases.
Venus Diamond/Venus Pearl ONE Shade determines the shade of the restoration by absorbing the lightwaves that are reflected by the surrounding tooth shade.
Venus Diamond combines a firm consistency and minimal stickiness with simultaneously exceptional high sculptability. It offers an extended working time and is perfect to model and polis and has been confirmed by numerous awards, such as e. g. from Reality or The Dental Advisor
Venus Diamond benefits from the unique combination of low shrinkage stress and high flexural strength which has been well-documented and tested in clinical studies.
The excellent physical properties of Venus Diamond and Venus Pearl are derived from our unique TCD-urethane formulation and an optimised filler system. This new chemical formulation lends the new Venus composites their special properties: an innovative molecular structure delivers an unparalleled combination of extremely high resistance, exceptional flexural strength and minimal shrinkage stress. Such properties are generally seen as key factors for significantly minimising fractures and secondary caries, which are the most common reasons for having to replace direct restorations. Venus composites offer more than just the sum of their individual parts. The spectrum of outstanding physical properties in itself makes the composites so reliable. Dentists from around the world have testified to this.
*Admira Fusion® is a trademark of VOCO GmbH · Tetric EvoCeram® and IPS Empress Direct® are trademarks of Ivoclar Vivadent AG · Estelite® is a trademark of Tokuyama Dental Corporation Inc. · Herculite® is a trademark of Kerr Corporation · Filtek® is a trademark of 3M Company · Spectrum®, TPH® and x-flow® are trademarks of Dentsply DeTrey GmbH · Esthet-X® is a trademark of Dentsply Sirona Inc.
Durable restorations for long-lasting patient satisfaction.
1) What is special about the chemistry of Venus Diamond?
Until now, low shrinkage monomer systems, such as BIS-GMA, had to be combined with reactive thinners on account of their low viscosity. However, these thinners raise the shrinkage of the monomer matrix. A special monomer is used in Venus Diamond that combines low shrinkage with low viscosity. The use of reactive thinners is not required and so the positive properties like low shrinkage, for example, are maintained.
2) Venus Diamond and Venus Pearl are both based on the same monomer system. How do you explain the difference in consistency?
The difference in consistency is explained by two adapted filler systems: Venus Pearl has a particle size distribution of 5 nm – 5 μm, and in comparison to Venus Diamond, it contains a prepolymerised filler. In addition, Venus Diamond has a wider particle size distribution of 5 nm - 20 μm.
3) Does Venus Diamond contain BPA?
No, Venus Diamond is BPA-free.
4) How many levels of translucency are there within the Venus Diamond range?
Venus Diamond offers three translucency levels: The opaque dentine shades (e.g. OLC, OMC, ODC and OXDC) have the lowest translucency in the respective ranges. These shades with increased colour intensity are used to cover amalgam tattoos and discoloured teeth and restore dark class V cases. The universal shades (Vita shades, A.., B.., C.., D..) possess colour intensities of medium translucency and are available in a large range. They can be used without additional layering or can be combined with opaque dentine and incisal shades to achieve aesthetically pleasing results. The incisal shades are the crowning glory, offering utmost transparency and minimum colour intensity. They form the enamel layer.
5) Venus Diamond has a rather firm, stable consistency. I prefer a creamier composite (in general, or e.g. only for the anterior region) Which composite would you recommend to me?
Kulzer offers a creamier alternative to Venus Diamond with Venus Pearl - depending on the preference and indication of the dentist. Kulzer now offers two nano-hybrid composites with different consistencies, Venus Diamond and Venus Pearl, that are both based on the innovative and patented monomer matrix, which has advantageous physical properties.
6) What do the prefix ‘O’ and suffix 'C' mean in the Venus Diamond opaque shade colour names?
The prefix ‘O’ (e.g. OLC, OMC etc.) stands for ‘Opaque’. These shades are the least translucent of all Venus Diamond shades. The suffix C in the opaque shades means "chromatic" and emphasis the intensive chroma of these shades.
7) How can I determine the exact shade of Venus Diamond to be used?
Besides the Venus Diamond Shade Guide, a small sample of Venus Diamond can be polymerised directly on the tooth. The colour matching effect arising after polymerisation is easy to assess prior to treatment.
8) Why does the material seem matt during layering?
During processing very little monomer appears on the surface. This is completely normal for Venus Diamond. Monomer on the surface would increase stickiness and therefore hamper handling.
9) Which adhesive systems can I use?
Venus Diamond can be used with commercially available bonding agents. We recommend iBOND Universal or iBOND Total Etch. It is important that the adhesive layer forms an even, thin layer everywhere in the cavity.
10) Can I use a flow composite as a liner in the cavity?
Venus Diamond can be used with commercially available flow composites. The use of a flow material is recommended, especially in deep or large cavities in order to adapt to the surfaces of the cavity preparation. We recommend the flowable nano-hybrid composite Venus Diamond Flow to complement Venus Diamond.
11) Which polymerisation lamps are suitable?
Depending on the shade used (see user manual), the polymerisation times are between 20 and 40 s per increment. Commercially available QHT (Quartz-Halogen-Tungsten) or LED curing light are suitable such as the Kulzer Translux® curing units or any other blue-light unit (wavelength of 440–480 nm; light output >550 mW/cm²). Note: Curing lights can have an immense variation in intensity and emitted spectral output. Users should check with the light unit manufacturer and verify its efficacy non-clinically before using in a patient.
12) How can I achieve a durable high gloss?
You can, of course, also use the polishing system for Venus Diamond that you have used until now. We recommend the use of Venus Supra pre-polishers and high-gloss polishers. With this long-lasting polishing system, you achieve a durable high polish in just two stages.
13) Should Venus Diamond restorations always be completed using a layering technique?
No. If high aesthetic needs are secondary, e.g. in the molar region, a complex layering technique is not needed. In these cases, only the universal shades are required to give acceptable results.
14) How does the colour adaptation of Venus Diamond work?
The refractive index of the filler and the monomer matrix have been completely matched, so that the material blends in perfectly with the colour of the surrounding dental hard tissue after polymerisation. This makes the restorative margins virtually invisible. An independent study at the University of Texas, School of Dentistry at Houston (Prof. Paravina) confirmed the excellent colour adaptation of Venus Diamond.
15) Why is the Venus Diamond Shade Guide special?
The shade guide consists of the original Venus Diamond material and not of acrylic. This in turn, ensures the colour of the shade tabs are identical to the cured material. The different translucencies were used for layering the shade tabs thus facilitating easier and simple shade selection for each individual patient.
16) Why were the Kulzer shades HKA2.5 and HKA5 created?
The HKA2.5 shade closes the gap between the most popular Vita shades, A2 and A3. There was a corresponding market demand for an intermediate shade. HKA5 is intended especially for use in treating cervical lesions in older patients. Previously, there was no corresponding reddish brown darker shade for this indication.
17) Are there also shades in the Venus Diamond colour range that I can use for bleached teeth?
Yes, in the Venus Diamond shade range, there is an opaque bleach shade (OB), as well as two different universal bleach shades (BL = Bleach Light, BXL, Bleach Extra Light).
18) What do the abbreviations CL, AM, CO and YO mean?
CL (Clear), AM (Amber), CO (Clear Opal) and YO (Yellow Opal) are the incisal shades from Venus Diamond.
19) Are the Venus Diamond and Venus Pearl shades compatible with one another?
Yes, the Venus Diamond and Venus Pearl shades are perfectly suited to one another and are compatible. For example, a solid dentine core in the anterior region can be built up using Venus Diamond and then subsequently covered and finalised with Venus Pearl using an instrument or even using a brushing technique.
20) Are there differences in the polymerisation times between the standard and opaque shades?
Yes, the opaque shades and some darker standard shades (A4, B3, C3, D3, HKA5) must be polymerised for 40 seconds. These shades absorb a lot of light and require longer lighting for complete curing. 20 seconds is sufficient for curing all other standard Vita shades.
21) How high is the volume shrinkage?
The volume shrinkage of Venus Diamond is 1.5%. (also see the difference between shrinkage and shrinkage force.)
22) What is the difference between shrinkage and shrinkage force?
Shrinkage is the specification most commonly discussed. Low shrinkage certainly improves the integrity of the filling margins. However, this value alone, actually says nothing about how the shrinkage affects the cavity walls. It is essential that the shrinkage stress force exerted, when curing the composite, is as low as possible, minimising stress to the cavity walls. As stated, low shrinkage stress is desirable, because a gap between the filling and the cavity wall can only arise if the force is so high, that the adhesive bond is damaged or stressed.
23) Are there stain shades?
Kulzer delivers five different stain shades with Venus Colour that are used for characterisations in the anterior and posterior region: Choco, Corn, Amber, Blue and White. With these, you can imitate cracks in the enamel, discolourations of fissures or chalky spots, for example.
24) What are the indications of Venus Diamond?
Venus Diamond is indicated for direct restorations of Class I – V cavities (according to G.V. Black), direct composite veneers, shape corrections of teeth (i.e. diastemas, congenital defects in teeth, etc.), splinting of teeth loosened by trauma or periodontal disease, restorations of primary teeth, core build-ups and repairs of porcelain, composite (in combination with an adequate repair-system).
25) Is Venus Diamond a nano-material?
Venus Diamond is a nano-hybrid material i.e. it contains a perfect combination of fillers of different sizes. This also includes the nano-range. The combination of different filler sizes improves the mechanics, aesthetics and shade matching.